Posljedice kroničnog parodontitisa su povlačenja zubnog mesa i prazni prostori između zubi. Pogledajte na koji način se uspješno rekonstruiraju zubi uz izradu kompozitnih ljuskica, bez brušenja zuba.
Pročitajte naš blog i saznajte sve o ortodontskoj korekciji zubi uz Clear Correct. Prikaz slučaja opisuje detaljan tijek terapije i donosi prikaz sjajnih rezultata.
Važno je prepoznati krvarenje desni kao problem, reagirati i poduzeti mjere za liječenje i prevenciju daljnjih problema. Ne zanemarujte simptome gingivitisa – poduzmite prve korake, obratite se stomatologu jer se gingvitis uspješno liječi.
Saznajte sve o izbjeljivanju zubi. Kućno izbjeljivanje ili ordinacijsko izbjeljivanje, koje su razlike. Koji su preduvjeti za izbjeljivanje..
Saznajte sve o All-on-4 metodi kao i jeste li kandidat za All on 4? Pročitajte u detaljnom blogu!
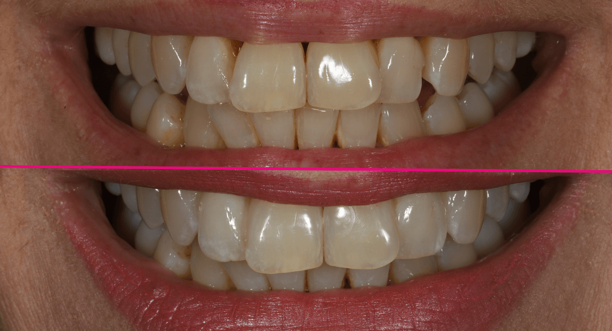
Krvarenje prilikom četkanja zuba prvi je znak upale zubnog mesa. Što dalje činiti? Kako izgleda terapija gingivitisa i parodontitisa? Ne zanemarujte simptome krvarenja desni – poduzmite korake. Saznaj više u našem blogu!
Kad su pogodni uvjeti za ugradnju implantata? Dobije li pacijent privremene zube? Koliko dugo se čeka na ugradnju implantata? Klikni i saznaj više!
Myobrace ispravlja problem disanja, ortodontski problem kao i ostale problemloše dentalne navike kod djece (infantilno gutanje, sisanje dude ili prsta, guranje usne između zubi itd.).
Rješenje je ICON – neinvazivni tretman uklanjanja bijelih mrlja na zubima.
Parodontitis je moguće liječiti, i to vrlo uspješno. Uspješnim liječenjem zaustavljamo progresiju parodontitisa i zadržavamo zube koji bi bez liječenja bili izgubljeni.
Myobrace – mobilni aparat koji pomaže ispraviti nepravilan položaj zubi kod mlađe djece













